This is what during COVID-19 is. Precautions. Healing, as I said before is not linear.

I am sitting in the ER waiting room alone. I’m alone, no visitors when I can barely comprehend anything. My mom, my newly appointed POA cannot be here. I call her every time I’m spoken too, just to make sure everything is heard.

The security guard didn’t have her mask over her face. I asked her three times and ran back because she, in a hospital, didn’t have her mask over her nose. In a hospital. Where there are COVID patients. I’m high risk. I have to make my circle small.
I am waiting but this is a precaution. My heart rate keeps spiking and I can’t sleep when my body needs it.
I know I needed help sleeping as I’ve become manic. I’m me less than I’m not. I called my doctors and tell them I’m going manic because of my insomnia.
They are doing this as a precaution to make sure I’m healing. My medications are already changed.
I’m still waiting and not admitted yet. They are helping me.
Please take your mental health seriously and see help when you need it. That is why I’m here.
This is the hardest thing I have ever been through. Of course I am struggling but I know I’ll beat it.
I’ll keep you posted on my status. I’m still waiting at 9:03AM.
I’m being strong. I hope I sleep THE ENTIRE TIME I’m here. Sleepcation.
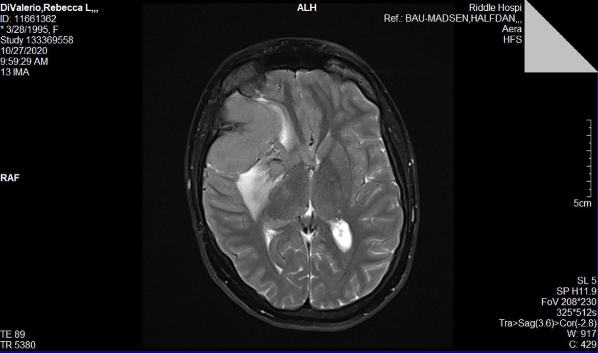
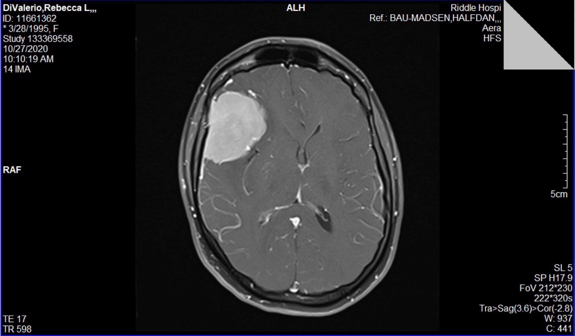
I added a photo of how big my tumor was for reference.
Of course my body is freaking out. Of course I’m being challenged. God wouldn’t give me something I couldn’t deal with. I’m going back now at 9:05. Pray for me.
9:40 AM. Blood work done. EKG done. Chest X Ray done. Urine sample done. Will keep posting updates here.






Leave a comment